傳統矯正後的另一章---維持器
拆矯正器的頭一年,是跑位的高危險時期,需24小時配戴維持器(除了吃飯時拿下,其餘全程配戴,包含睡覺)。 之後可偷懶,逐年縮短配戴,甚至只在睡覺時戴(這通常3年以後)。
這篇文章,視覺系,圖示較多(若看不到圖,請至新平台方格子,這裡不再更新),有圖有真相,覺得看不夠的朋友,可自行google『維持器』,切換到『圖片』的頁面,就有一堆可看。
再做維持器算貴嗎?跟二次整個矯正費用比起來算零頭吧,花點小錢、做好保養,我覺得是值得的。
我需要區隔開我做矯正的病人與非我的病人(其他的),所以會有2個價格,是因為免得一堆網友找我做維持器(很多人看了我的文章,才知原來有這麼多種選擇,這對我而言也是不可思議的),不回原診所去做。
兩者的服務品質是不一樣的,常被混為一談,只看價錢CP值,造成我們的困擾。
請見諒。
順便講一下常見的考古題:維持器要帶多久?近來一堆網友FAQ簡答題被我寫成申論題,所以為了排版好看,大部分更新我挪於文末FAQ。
理論答案是『一輩子』,可是這通常辦不到,連我自己當初拔牙矯正後,也只戴維持器三個月就懶得戴了→所以我下前牙(此區是最容易跑位的)就有點跑掉了...

我自己的下前牙有一點小跑位,矯正完20幾年了,只有歪這一點點,證明我自己的觀點,最後一條矯正線是最好的維持器,放久一點
我自己是主動跟我的矯正醫師討論,大概在2年多,我的矯正成果就已經達到我能達到的極限,我已很滿意,我跟他討論,知道最後一條矯正線是最好的維持器,最好放幾個月再拆矯正器,像是讓牙齒落地生根、鞏固得來不易的矯正成果。所以我花了3年帶矯正器,雖然我後來只帶了3個月維持器,就放風不帶了....再說一次,叔叔有練過,不要輕易嘗試...20年後,我依然維持上下大致穩定的牙弓外型。
所以我會讓我的矯正病人動輒帶超過3年(不是一般主流講究翻桌率的2年)矯正器+衛教,說明我為何如此做。其他有原看到此文的網友,請自求多福吧,乖乖帶維持器,不要以為拆矯正器就放風了,從此海闊天空、自由自在。
並不是的。拆矯正器,只能算是主動矯正期(不需要你的配合,你要做的事是,定期回診繳費,拉拉橡皮筋,簡單方便的很)的結束,後面還有被動矯正期的維持器等著,而這是活動式的,更需要靠自制力。
因為傳統的拔牙矯正,是靠外力(不管是傳統大綱牙矯正器、陶瓷矯正器、透明矯正器、舌側矯正、隱適美等隱形牙套矯正,那都是只是換湯不換藥,隨時代科技與審美觀的演進),硬把牙齒排到我們覺得好看的位子、牙弓的位子。不考慮軟組織(舌頭、口腔面部肌肉之類的)功能失調(這是因),才會造成硬組織(牙齒)的失調(排列不整之類的,這是果)...還好現在已有部分矯正醫師注意到此議題。
所以傳統拔牙矯正,主動矯正期的結束,後面一定還有被動矯正期的維持器,跟著儘量鞏固得來不易的矯正成果。
我需要長時間的矯正諮詢,除了病人篩選我,我也在篩選病人的配合度,彼此適不適合。我現在喜歡做更符合自然的功能性矯正、不拔牙矯正...那就不一定需要戴維持器。


維持器有好多種種類,目前一般臨床上常被使用的是這三種。放大會胡掉。①透明維持器②Hewley's retainer ③維持線①②都是活動式的,③是固定式的
分述如下:
①透明維持器(clear overlay):目前主流,最常被用,因為美觀輕巧。
其實隱形牙套(例如隱適美、時代天使、舒服美、icot等等百花齊放的品牌)就是由此分支而出(材料不同而已,工序類似,美白牙套最軟、隱形牙套有點硬但有彈性、維持器較硬),正常的社交距離真的不太容分辨的出,真的是不知不覺在變美麗(旁人的觀點啦,牙齒在移動時的痛還是有的,只有自己知,如人飲水)。以口腔保持清潔的觀點,對牙周、蛀牙等牙科大宗問題,最有幫助,因為可取下好好刷牙。
缺點是通常撐不到幾年....我的經驗是8個月就會破損(目前記錄是2個月就斷掉,連這都在搶著破紀錄.....),我也遇過撐到2年沒破損的,真的是個人習慣問題....要分次分段慢慢拿。尤其是咬合面→這其實無礙前牙的維持性,自己拿剪刀剪掉破損處至不會利利的、割刺黏膜,仍可繼續使用,只是慢慢會鬆脫不好定位,原來不會影響前牙的定位也會被影響到。建議趕快再做新的,比較保險。
戴透明維持器時,吃飯要取下,儘量少講話....少咬合動作就是了,如需長時間的咬合、講話,乾脆取下吧,不會因為您少幾分鐘沒戴維持器就跑位的很嚴重,還沒那麼誇張。
現在我通常會建議我的矯正病人,除了我會免費送他的①(上下一套,2副),再請《自費6500》做②(上下一套,2副。)...請看下文就知道我優惠多少了,一次做2種維持器(①+②),輪流交替使用,2種彼此都用的久。白天戴①透明的,晚上戴②Hewley's retainer。

白天戴①透明的,晚上戴②Hewley's retainer
萬一發生①透明維持器最常見的急症慘劇---用衛生紙包起來而遺失,也還有另一付撐著備用,不致那麼急著做新的維持器,因為從您到診所印模,到您拿到新的維持器,大概2~3週跑不掉,在此空窗期,牙齒就有跑位的風險。
【6500是鼓勵剛拆矯正器的病人的優惠價,之後再做是沒有的,恢復如下述的原價。 維持器的計價方式,都是上下各算一副。】
我的矯正病人,重做新的①透明維持器,一副2500。
其他的,一副3500。
(2020.8更新)
我現在找到一家技工所,可以數位口掃(口腔掃描).....另外計價2000,會附送3D列印牙模。以下文內價格皆為傳統印模版....這樣您之後維持器又斷掉或不見時,我就可以直接請他們幫您重新製作(3D列印,這玩意兒已應用在牙科了,北部較常見,或許您有國內外的朋友已見識過),不需再重新取模....前提是之前有按時乖乖戴維持器,超過半年以上的取模或口掃,口內都有微跑位的風險,新製的維持器可能會很難戴、很緊、甚至根本戴不下,所以重新製作維持器,我還是建議來臨床重新取模或口掃。我喜歡這樣的數位方式,較環保,病人也方便,不用忍耐印模的噁心之感。不過前提是您之前都有乖乖戴維持器,牙齒沒跑掉。所以矯正療程結束半年以上時,建議還是請您來讓我重新印模,順便讓我看一下狀況。
要重新印模的理由之一,是隔一陣子,牙齒多少會跑位一點,不會像之前剛做完矯正時那麼整齊,現在我手上的模子是您之前剛矯正完的,直接以此做新的維持器的話,是可以,但您要冒個風險,要嘛完全戴不下(應該不致於,這透明維持器硬歸硬,但還有一定程度的彈性,硬壓應該戴的下...多久可以戴下去?我最近幾個例子都是一天左右,如下圖,要這樣戴著,想到就壓一下,牙齒會慢慢被壓回原位,學到教訓,以後就更會乖乖帶維持器),要嘛就很緊,不好穿戴。維持器跟隱形牙套很像,所以這篇文章也適用,請確認真的戴好了。
隱形牙套進度不如預期的常見原因---沒戴好(按下去)
因為不一定跟您『現在』口內的牙齒排列狀況合腳。如需又重新印模製作,費用可是重新計算,這很合理,因為這不像一般網購的衣服鞋子,可退,這是個人客製化的醫療用品,我們成本已下。
所以我是建議您來重新印模。
我現在是指我做矯正的舊病人。如果非我作矯正的網友,那更是要來印模了。
做好後,建議來門診,但也可以直接寄給您,超商取貨(給我超商名....7-11或全家或萊爾富或....、門市名、你的手機、身份證等證件上的中文名字)。

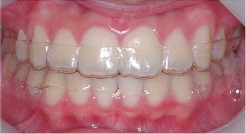
透明維持器(clear oerlay)口內照,跟隱形牙套很像吧

透明維持器(clear overlay),跟隱形牙套很像吧

透明維持器(clear overlay)在石膏模型上製作時的樣子

透明維持器(clear overlay)與石膏模型分離,跟隱形牙套很像吧,兩者工序很像,只是材質不同

透明維持器(clear overlay),跟隱形牙套很像吧
①透明維持器穿戴久了,難免會有些小變形,變得很鬆,此時用手(輕輕的)壓壓扭扭,會有點幫助。

維持器/隱形牙套保存盒,各種形式都有,有些有附鏡子與毛刷,最好找有通氣孔的,比較不會有異味
維持器不在口中時,請為它找個通風的家,例如開放的盤子、杯子,或像圖右淺藍色有排氣孔洞的盒子,這樣比較不會有異味產生。 千萬不要隨手塞口袋☞會變形,或用衛生紙包起來→別人會當成垃圾丟掉,尤其在餐廳,至少把衛生紙打開,別人看到裡面有東西,就比較不會一掃而空,救回來的機會較大。
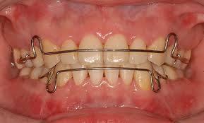
②Hewley's retainer(沒啥固定中文譯名,有人叫哈雷維持器,有人叫有鐵絲的那種維持器,有人叫活動式維持器....)

Hewley's retainer
哈雷維持器
最傳統好用的維持器,有多種設計變型。我當初做完矯正,就是用此種維持器,只是如缺點所言,我戴了3個月就不戴了,下前牙就小跑位了,還好我自己能接受(這時很多人就會天人交戰,to be or not to be,要不要再來二次矯正?)。
優點:因為有粗的矯正鋼線,所以維持性最好,有因咬合面
開放,不容易被咬壞,可以用個好幾年都沒問題,很
耐用。不過這也是問題,用久了,維持器的鐵線難免會
變形,需要進廠(診所)維修一下。《我的矯正病人通常
我會請其在定檢洗牙時,順便帶回來讓我微調一下。》
缺點:就是量體較大,異物感較明顯,需學習一段適應期間,
通常一兩週。尤其戴過①透明維持器的病人。
維持器的計價方式,都是上下各算一副。
我的矯正病人,重做新的②Hewley's retainer,一副3500。
其他的,一副4500。

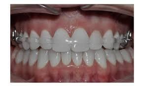
Hewley's retainer
哈雷維持器(口內照)

Hewley's retainer
哈雷維持器在石膏模型上

上顎維持器是Hewley's retainer,下顎維持器是wrap around retainer(詳細介紹在文末FAQ 2)
此為邱醫師的個人習慣,通常上下形式都一樣 ,
③維持線

通常只做下顎的(下前牙是位移跑位的最高危險區)。
上前牙較少做,因為容易被咬到、咬斷。上前牙也相對比較不會跑位。
這我比較少做,因為缺點如上所述。通常我只會用在矯正前就已經很亂的齒列。
優點:固定式,不需配合。很多拆完矯正器的人,歡天喜地,不會帶活動式的。
缺點:會有點異物感,畢竟在舌尖就碰的到的地方。而且無法用牙線清潔,會有清潔死角。
最嚴重的是,就是因為是固定式的,容易讓人放鬆戒心,以為萬無一失,斷了、掉了、鬆了也不一定會知道,往往都等到牙齒位移跑掉了,才知道事情大條了。那是就不回來,可能需要臨床評估,再花錢二次矯正。
所以我一定會交代病人,『斷了、掉了、鬆了』,就算沒症狀(有些人會覺得怪怪利利的,有些人就是不會),也要趕快約回診檢查處理。通常我在半年定檢洗牙時,往往才發現。做維持線,重新印模後製作(所以誰先誰後順序很重要,就不用白花錢了),照樣可戴其他樣式的活動維持器。
維持器的計價方式,都是上下各算一副。
我的矯正病人,重做新的③維持線,一副1000。
其他的,一副2000。
④QCM(目前沒特定中文譯名,這是貝斯特技工所的叫法,在網路上也有醫師標榜的日本新型維持器,我想是類似的東西)

優點:結合前兩者的優點,兼顧到前牙美觀+固持性
缺點:費用較高
維持器的計價方式,都是上下各算一副。
我的矯正病人,重做新的④QCM,一副5000。
其他的,一副6000。
不管是②Hewley's retainer或④QCM,那個『塑膠』部分,不是『塑膠』,大致上是醫療級的壓克力樹脂(貴就貴在這),紅白(透明)色只是不同的原料,有無色素而已。
牙科很多進展其實是被牙材的進展推著走。
④QCM其實就跟其實就跟透明矯正器一樣,都只是前牙美觀區的障眼法,在較不被看見的後牙區,一樣有金屬的部分,而且,透明矯正器(不管是陶瓷、水晶...等等),為了美觀,都有一定程度的犧牲,例如矯正器尺度,為了達到一定強度(矯正是個漫長的療程),往往得做厚一點(臨床意義就是,凸凸的異物感更明顯、更容易刮黏膜)。我特地找這兩張圖說明,給愛美人士看一下,減少誤會,即使矯正器是透明不明顯的,矯正線...那條鐵絲(雖有白色的矯正線.....),別人仍是看的見,仍然是國王的新衣,才會後來演進出隱適美等隱形牙套矯正的市場....所以其本質是一樣的喔,換湯不換藥,我文章開頭有說了。那跟功能性矯正,是完全不一樣的思路。
所以我不推薦透明矯正器。當然您願意促進經濟發展,我也不反對,只是我臨床沒有備,別找我。

QCM

透明/陶瓷/水晶矯正器

白天戴①透明的,晚上戴②Hewley's retainer
所以現在我通常會建議我的矯正病人,除了我會免費送他的①(上下一套,2副),《再請自費6500》做②(上下一套,2副),一次做2種維持器(①+②),輪流交替使用,2種彼此都用的久。
6500是鼓勵剛拆矯正器的病人的加價購、優惠價,之後再做是沒有的,恢復如上述的原價。
白天戴①透明的,晚上戴②Hewley's retainer。
萬一發生①透明維持器最常見的急症慘劇---用衛生紙包起來而遺失,也還有另一付撐著備用,不致那麼急著做新的維持器,因為從您到診所印模,到您拿到新的維持器,大概2~3週跑不掉,在此空窗期,牙齒就有跑位的風險。
再做維持器算貴嗎?跟再來一次的整個矯正費用比起來算零頭吧,花點小錢、做好保養,我覺得是值得的。
講一下常見的考古題:
《FAQ1:維持器要戴多久? 》
理論答案是『一輩子』,可是這通常辦不到,所以通常講5年,比較人性,反正就是越久越好。所以這是您會聽到各種不同版本時間的原因。
但透明維持器大概一年多就開始變形了,所以請準備後續的維持器當備胎,下面的FAQ 2有講...這大多數的矯正醫師只會趕快結案下車不會講,這是我一開始就建議我的病人直接做2套的主因。
連我自己當初拔牙矯正後(何況其他病人?非常人性化而合理的不帶維持器),也只戴維持器三個月就懶得戴了→所以我下前牙(此區是最容易跑位的)就有點跑掉了,只要你能自我悅納接受現實,就不一定要重新矯正。

我自己的下前牙有一點小跑位,矯正完20幾年了,只有歪這一點點,證明我自己的觀點,最後一條矯正線是最好的維持器,放久一點
最好的維持器其實就是最後一條矯正線,所以通常我會讓我的矯正病人戴久一點才拆矯正器,像我就因此當初跟學長要求多帶矯正器一年,直到他畢業,我才不得不拆,所以我只有下前牙亂這麼一點點,20年了,我的齒列咬合一樣很穩定、排得很好,人工排的美感。
不過我不建議非我矯正的網友,做此危險動作,不戴維持器,後續歪的更離譜,我可不負責。
因為一般學校訓練出來的所謂矯正專科醫師,都有2年的慣性壓力,排好了,就儘快拆除矯正器,結案下車,很少會延長,除非您要求而且您又遇到那種可以溝通的矯正醫師...而這,通常是雙方都樂意的,病人高興終於擺脫矯正器的桎梏(請看那篇『只有15個...』),醫師高興提高翻桌率...您懂得,用現在餐飲業的術語比喻,您會更瞭解。
傳統拔牙矯正、人工排好的齒列,需要一段時間的固位、落地生根。
拆矯正器的頭一年,是跑位的高危險時期,需24小時配戴維持器(除了吃飯時拿下,其餘全程配戴,包含睡覺)。
之後可偷懶,逐年縮短配戴,甚至只在睡覺時戴(這通常3年以後)。
FAQ2:怎麼知道危險期過了?
可一段時間不戴(例如一天、一個早上),再重新戴回時,維持器變得很緊,甚至戴起來會痛,一如剛戴矯正器時,這表示您的牙齒還沒穩固,仍有跑位走山的潛力。只好繼續乖乖戴了。
再強調一次,因人而異。不戴,危險動作,請勿模仿,我不負責喔。
FAQ3:請問矯正後都有戴維持器 ,但牙齒還是有可能慢慢跑掉嗎?
對,尤其是透明維持器,大概兩年後會變形或破掉,僥倖沒破,病人還會戴得很高興,不知戴在已變型的維持器中,牙弓與維持器兩者一起變形走位,溫水煮青蛙,幾年後才知不對。
所以我都會建議我的矯正病人,一開始(剛拆完矯正器)就戴2種維持器,理由如上,哈雷維持器固持性較好,但透明維持器比較不影響生活品質,比較可能常戴。輪流使用,兩者都各自延長使用年限。
我在屏東市執業,最近忽然很多網友看到我這篇文章而跟我FB聯絡,煩不勝煩,這些後續服務(解答也要花我時間打字啊),本來就應該是原矯正醫師該進行的口腔衛教服務,可我看見網路上在寫牙套日記勸人入坑的,極少寫到後續服務這塊,大多只在比CP值。
眾多不相識的網友,有些一看就是令人煩的只會追求CP值的小白,但偶而也有些是認真為自己負責的,令人感動,所以我還是有動力繼續更新。
別誤會,網友若有需求,還是可來找我做維持器,我臨床檢查完後,或許會給出您意想不到的答案,幫您省錢省時間,不做不需要的醫療。
像某位網友,還會直接拍圖給我,矯正器都戴成這樣了,縫縫補補又三年,十年(都有白色牙結石了,在下顎維持器紅色樹脂處,至於鐵線上的白色,那是焊接修補+包裝)了,還蠻乾淨的,愛惜物力與認真配戴,真是羞死一堆年輕人。
她問我說,是否需重做?問到wrap around retainer 。
我的回答是,wrap around retainer是傳統型裡,咬合開放的一種,意思是可以戴著講話吃飯,Hawley也可以辦到,但干擾較多,不過這只是相對程度的問題,所以臺灣的醫師大多會選擇用較經濟便宜的Hawley就好了。
wrap around retainer一副大約NT.4000, 跟在美國做差很多, 美國大約350美金上下。戴透明的維持器,差很多喔,美國牙醫分工很細,不像我在臺灣,幾乎可全包全做,隔行如隔山,即使同在牙醫這麼小的工作圈裡,還是有分,美國牙醫朋友的建議,聽聽就好,若非專精於此,不必太認真,把他當成較有水準的專業建議參考就好了。
她已戴超過十年以上的維持器,所以我是建議她其實可以不用再戴維持器,戴最近一年新作的透明維持器當保養就夠了,牙齒已不太會跑位變形,所以就算是透明維持器的材質因彈性疲乏而變形,也無關大局。不過她是二次矯正,被嚇到過了,我們素昧平生,也不是我的矯正病人,我不知道她之前的狀況,也許真的很糟很亂也不一定,所以我的建議只是依實務....依學理可是『一輩子』,上面有說。

wrap around retainer
網路圖還很多,我隨便抓一張下來,只要是想告訴大家,那個紅色樹脂板,是因樹脂的材料而可選色的,可以是透明的,也可以是其他彩色的,甚至有圖案。在歐美已客製化搞怪到這種地步,台灣仍是工廠思維、最大眾口味的淡粉紅透明,其實您是還有其他選擇的。在台灣,您得跟醫師確認技工所是否有製作喔,若有,有些要加價(有些可能不用)。
在傳統矯正幾十年後可能會面對的問題,請放心,不是所有人都會遇到,我只是說,在傳統只見硬組織(牙齒、顎骨)的問題,而不見軟組織的問題,只是用人為的力量硬調到我們人類的審美觀所要的位置,很容易會在中年以後出問題,沒想到『因』是在年輕時代的齒顎矯正種下的,尤其越來越講求、成主流的翻桌率,速成的微整形醫美,我下面的文章也只是給個提醒。
留言
張貼留言