小朋友全口x光片看些什麼?
寫過了大人版的方向辨位,在此基礎上,我們在來談小朋友版的,要看看哪些門道。

5歲(男)

7歲(女)

8歲(男)

9歲(女)

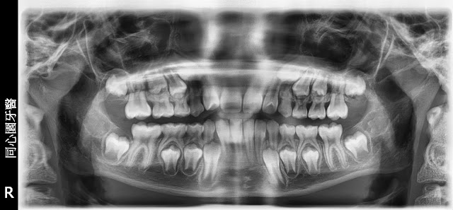
9歲(男)

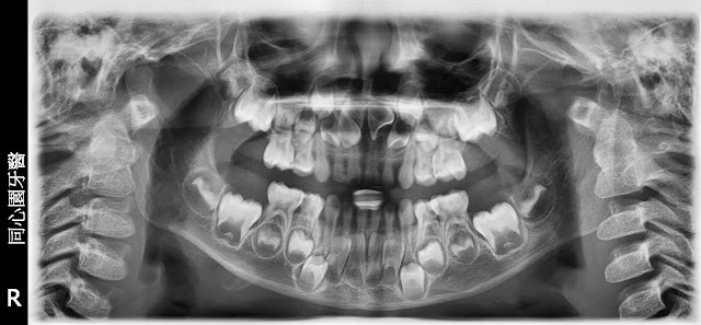
10歲(女)

另一個10歲(女)

另一個10歲(女)

另一個10歲(男)
以下是他12歲時照的


11歲(男)
以下是他14歲照的


5歲(男)
以下是他7歲


19歲(男),多生牙或不處理的後果。
19歲,已不可能矯正,牙根根本已定型變形,拉出來也沒用,當做沒看到,只能拔掉植牙或牙橋了。
![]() |
| 一般游離輻射劑量比較圖 |
![]() |
| 醫療游離輻射劑量比較圖 |















![]() |
| 一般游離輻射劑量比較圖 |
![]() |
| 醫療游離輻射劑量比較圖 |
留言
張貼留言